全国24小时空降网站,qq快餐200qq群,全国空降24小时免费,五一品茶官网app

欢迎光临品源医疗,厂家专注骨龄检测仪、骨密度仪、骨密度检测仪等健康医疗设备的生产研发及销售

品源医疗,厂家专注骨龄检测仪、骨密度仪、骨密度检测仪等健康医疗设备的生产研发及销售

骨密度仪国家标准起草单位

骨龄检测仪专业生产厂家

全国服务热线:15365833739

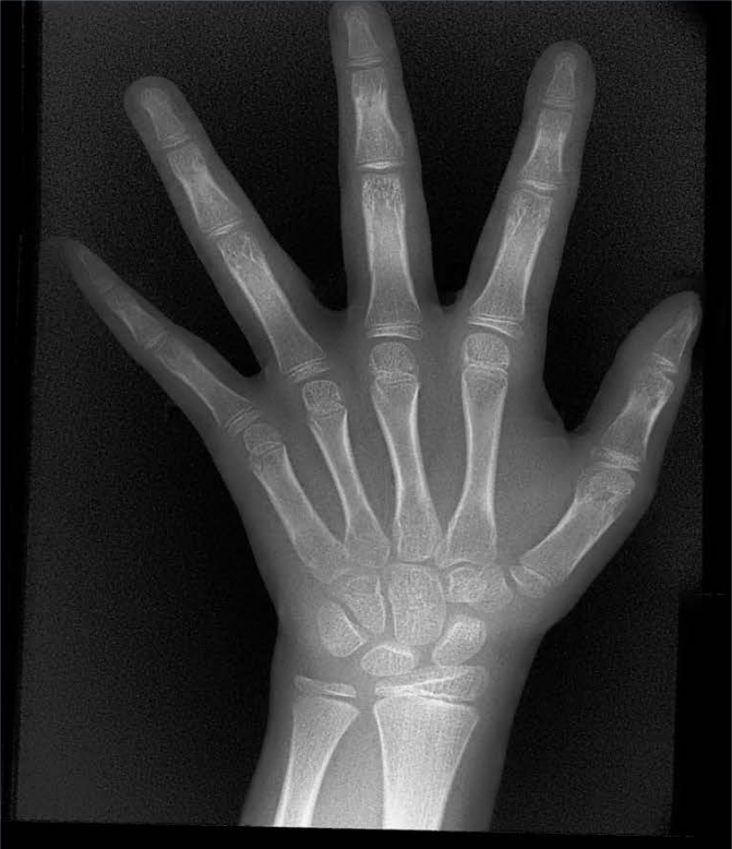
X射线骨龄仪:骨龄检测的价值与报告解读

文章出处:品源医疗 人气:435发表时间:2026-1-28 13:54:04
在儿童生长发育诊疗领域,骨龄检测是评估儿童发育状况、辅助疾病诊断与治疗的重要手段。精准的骨龄检测不仅能为临床诊疗提供科学依据,更能助力医疗机构提升生长发育相关疾病的诊疗效率与精准度。
一、骨龄检测的临床意义

骨龄是反映儿童真实生长发育水平的关键指标,为相关疾病诊疗提供重要支撑。它可助力身高异常疾病病因诊断,支撑矮小症等治疗的监护与疗效评估,还能精准评估生长发育及青春期突增状况,为早期干预提供依据。



二、骨龄检测设备:X射线骨龄仪
在骨龄检测实践中,X射线骨龄仪因检测精准、操作便捷、结果稳定等优势,成为医疗机构的主流选择,其价值在于为骨龄评估提供清晰、可靠的影像支撑。
1. 检测原理与优势
X射线骨龄仪通过拍摄儿童手腕部(指骨、掌骨、腕骨)的X射线影像,依据骨骼的形态、大小、钙化程度等特征,结合评估标准(如《中国青少年儿童手腕骨成熟度及评价方法》,简称《中华-05》标准)进行骨龄判定。相较于传统检测方式,X射线骨龄仪具有辐射剂量低、影像清晰度高、检测效率高的优势,能精准捕捉骨骼发育的细微变化,为骨龄评估的准确性提供保障。
2. 应用适配场景

X射线骨龄仪适用于儿童保健科、内分泌科、儿科等多个临床科室,可满足不同年龄段儿童的骨龄检测需求。无论是常规生长发育评估、身高异常筛查,还是疾病治疗后的疗效监测,其检测结果都能为临床诊疗提供标准化、可对比的科学数据,助力医疗机构提升诊疗规范化水平。



三、骨龄检测报告常见指标解读
骨龄检测报告的精准解读是发挥其价值的关键。下面是报告中常见名词的解读要点:
- 骨龄百分位数:依据《中华-05》样本骨龄百分位数曲线计算得出,用于评估患儿骨龄在同龄人群中的发育位置,明确骨龄是否处于正常范围。
- 骨龄生长速度:即骨龄与实际年龄的比值,反映骨骼发育的速率,可辅助判断骨龄发育是否存在加速或迟缓情况。
- 身高百分位数:通过与同龄人群平均身高对比计算得出,直观反映患儿身高在同龄群体中的水平。
- BMI(体质指数):计算公式为“体重(kg)÷身高2(m2)”,用于评估患儿体型是否正常,排查肥胖或营养不良等可能影响生长发育的因素。
- 父母身高中值:计算方式为“(父亲身高+母亲身高)÷2”,反映患儿身高的遗传潜力基础。
- 靶身高:依据《中华-05》标准中的遗传身高公式计算得出,是基于遗传背景预测的患儿成年身高参考值。
骨龄检测在儿童生长发育诊疗中具有重要的临床价值,而精准的骨龄仪与专业的报告解读是发挥其价值的关键。充分的掌握骨龄检测的临床应用逻辑,结合优质检测设备与规范解读流程,为儿童生长发育相关疾病的诊疗提供更科学、精准的支撑。

同类文章排行

最新资讯文章

网站对话